Space
Maintainer
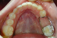
When a primary tooth is lost prematurely the teeth can drift into
the new space crowding out the permanent tooth that is supposed
to erupt into that space in the future. A space maintainer keeps
baby teeth from shifting into the space where the tooth was lost
so the permanent tooth can erupt in its natural proper space. As
the permanent tooth erupts, Dr. Prather will remove the appliance. Space maintainers can help eliminate
the need for extensive orthodontics in the future.
|
|
|
|
band loop space maintainer
|
erupting tooth
|
|