Cosmetic
Dentistry

A smile can be the most eye-catching feature of your face. Even
a subtle change can make a big difference in the way you look and
feel. New techniques like whitening,
bonding, enamel
shaping, veneers, and white
fillings allow us to create a beautiful smile with, at times,
only minimal changes to existing teeth.
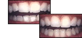
Teeth
Whitening is a very popular procedure in cosmetic dentistry.
It is a relatively easy and effective technique for obtaining a
dazzling, whiter smile, at home, in a matter of days.
Bonding
is a procedure where tooth-colored composite resin material is placed
to "fill in the blanks." One of the most frequent uses
of the bonding technique is to fill in a gap between front teeth.
Enamel
Shaping (Contouring) is the process of shaping natural teeth
to improve their appearance. Shaping can be used to correct minor
cases of crowded or overlapping teeth, smooth rough edges, or make
small adjustments to the shape of a tooth.
Veneers
are laboratory fabricated, porcelain facings that are bonded to
the front surfaces of teeth to whiten teeth, close spaces, straighten
teeth, or repair chipped or worn teeth. The veneers are only about
1 mm thick (the thickness of a fingernail). That same thickness
is "shaved" off the natural tooth surface so when the
veneer is bonded to the tooth, the tooth doesn't feel or look "thicker".
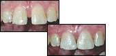
Caps
(Crowns) are rarely used for cosmetic correction any more,
since the advent of veneers, but in some cases a crown may be necessary
for a particular tooth. A tooth with a bad fracture
or a large filling that is breaking down,
or has decay around it, may be a candidate for a crown instead of
a veneer. This patient has veneers on top, but one of the front
teeth had a large filling and had to be crowned.
White
fillings replace silver or gold fillings with a more natural
looking tooth-colored material. Since teeth are translucent, dark
fillings cause the whole tooth to appear darker when viewed from
the side. Replacing older dark fillings with white fillings will
keep your smile glowing!
|